Specialized software for Radiotherapy, Radiopharmacy, and Nuclear Medicine

At TRF, we put digitalization at the service of safety and efficiency with a portfolio of specialized software that can be integrated with each other and with the service’s equipment. These platforms automate traceability, minimize errors, and help comply with regulations, improving patient and staff protection.

Technology and safety at the service of Medical Physics

TRF develops and implements its own software for hospitals, radiopharmacy services, brachytherapy units, radiotherapy training, and remote facility management. Each solution is designed by medical physicists, engineers, and computer scientists, with a clear focus: safety, traceability, ease of use, and regulatory compliance.

RadyNet

Software for the remote management of GMRady detectors and TRF waste systems.

CuriePharm

Specialized software for the planning, preparation, and application of radiopharmaceuticals.

BrachyCare

Complete system for planning high-dose-rate brachytherapy treatments.

PCRT3D

3D platform for planning treatments with photons and electrons.

RadyNet

RadyNet is the essential software for the comprehensive control of all detectors and devices manufactured by TRF. It allows remote management of radiation monitor networks GMRady and waste management systems DTS, also integrating video surveillance systems for complete supervision of facilities and patients.

  • Radiation detectors to monitor the dose emitted by patients.
  • Video surveillance cameras for additional control and security.
  • Liquid radioactive waste management system for real-time monitoring of the filling status and activity of each tank.
  • Real-time monitoring.
  • With RadyNet, get a real-time view of the status of each linked device, all on a single screen. Simultaneously, access images from surveillance cameras to assess conditions in different locations.
  • Allows remote maintenance of equipment.
  • Data Visualization: RadyNet allows you to visualize measurement data from an unlimited number of GMRady detectors in a matrix format.
  • Data History: Access dose rate records over a set period and explore historical data for each detector.
  • Data history exportable in .csv format.
  • Alarm Configuration: Customize audible alarms and external outputs according to your specific needs.
  • Accumulated Dose: Measure the accumulated dose over a period defined by the user.
  • Threshold Levels: Set dose rate threshold levels for customized alerts.
  • Channel Name: Assign names to channels for easy identification.
  • Date and Time: Maintain a detailed record with the date and time of measurements and each action on the devices.
  • Customize the RadyNet configuration to adapt it to your specific installation. Get a graphical representation of the installation that shows the radiation dose rate in all locations where GMRady detectors have been installed.
  • Visualize the dose rate at 1 meter from the radiation source for precise radiological management of patients, minimizing the exposure of care personnel.

RadyNet is the comprehensive solution that simplifies the control and management of radiation devices, providing greater peace of mind and efficiency in the supervision of radioactive facilities.

CuriePharm

CuriePharm optimizes the processes of Warehouse Management and Radiopharmaceutical Preparation and Application. In addition, it also keeps a complete record of all traceability. Designed for radiopharmacy specialists, radiopharmacy technicians, nuclear medicine physicians, and nursing assistants, this system simplifies and improves each phase of the process, from planning to radiopharmaceutical administration.

CuriePharm centralizes and manages all information related to the preparation and application of radiopharmaceuticals. With an intuitive interface and advanced tools, it offers you the control and efficiency necessary to record and supervise each stage of the supply chain, ensuring safety and precision.

System validated according to the GAMP 5 methodology supported by the experience acquired in the accreditation of medical software according to ISO 13485.

  • User access control with configurable permission groups.
  • Integration with Activity meters, automatic dose dispensers and other common peripheral devices in a radiopharmacy: The system automatically measures the activity of radiopharmaceuticals, eliminating manual errors.
  • Integration with hospital databases, and with other management software, through HL7 or DICOM protocols.
  • Ergonomics and Simplified Access: The devices associated with CuriePharm are physically integrated into biological safety cabinets and shielded manipulators, providing convenient and efficient access to screens, label printers, and code readers.
  • Complete Traceability: CuriePharm allows you to record and track each dose administered, ensuring regulatory compliance and treatment quality.
CuriePharm is a TRF's own development in collaboration with radiopharmacy specialists.
With CuriePharm, you will optimize processes in a hospital radiopharmacy, improving patient safety and facilitating compliance with regulatory standards. Designed for radiopharmacy specialists, this comprehensive system simplifies management, improves the quality of care, and ensures absolute control of product entry and exit.
Trust CuriePharm to transform the management of your radiopharmacy, combining advanced technology with ease of use and maximum safety. The configuration is scalable and adaptable to each installation regardless of size or workload.

Specialized Management Modules

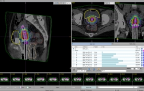
BrachyCare

The BrachyCare HDR high-dose-rate brachytherapy treatment planner is an intuitive, easy-to-use, flexible, and versatile software designed for planning brachytherapy treatments. It performs planning with high-dose-rate radioactive sources and with electronic brachytherapy, having been specifically adapted in this case for use with the Xoft system, both in the planning of treatments with the Axxent equipment and in the export of the same for treatment.

Its objective is to calculate the dose distribution and treatment times to optimize the dose in the tumor, minimizing the dose in healthy tissue.

BrachyCare complies with a rigorous quality assurance program based on the recommendations of AAPM, IAEA, and IEC, ensuring safety and precision in each treatment.

BrachyCare allows you to optimize the entire planning workflow, from image import to contouring, dose calculation, and complete plan evaluation.

BrachyCare's Windows-based graphical interface is easy to use and intuitive, allowing for fast and efficient performance.

BrachyCare includes a software security system based on users and user permissions. Any modification made to a specific plan is recorded in a database, ensuring traceability and data integrity.

Trust BrachyCare for the precise and safe planning of high-dose-rate brachytherapy treatments. Our solution is designed to improve the quality of patient care and simplify planning processes.

PCRT3D

PCRT3D is a complete three-dimensional radiotherapy planning system for sale exclusively to training centers. This cutting-edge platform allows radiotherapy professionals to practice and perfect the planning of treatments with photons and electrons during their training period.

PCRT3D is a versatile and flexible solution that provides the necessary tools for learning the planning process in radiotherapy. Designed for training centers, this software offers a simple and intuitive environment that accurately simulates the planning of radiotherapy treatments in a clinical setting.

PCRT3D offers a range of modules that cover all key areas of radiotherapy, including Virtual Simulation, Planning with External Radiotherapy using LINACs or cobalt units, and Brachytherapy. This allows you to customize your training experience according to your needs and objectives.

PCRT3D integrates seamlessly with all imaging systems via DICOM, including CT, MRI, PET, PACS, and more. In addition, it allows connection with treatment units, R&V systems, and other treatment planning systems.

Our Windows-based graphical interface is simple and intuitive, ensuring a comfortable and efficient training experience. Learn to plan radiotherapy treatments quickly and effectively.

PCRT3D is designed to enrich training in radiotherapy, providing professionals and students with the opportunity to acquire valuable skills in a safe learning environment. Enhance your training and perfect your techniques with PCRT3D, the external radiotherapy treatment planning platform.

Scroll to Top